产品说明
一般描述
RIPAb+ antibodies are evaluated using the RNA Binding Protein Immunoprecipitation (RIP) assay. Each RIPAb+ antibody set includes a negative control antibody to ensure specificity of the RIP reaction and is verified for the co-immunoprecipitation of RNA associated specifically with the immunoprecipitated RNA-binding protein of interest. Where appropriate, the RIPAb+ set also includes quantitative RT-PCR control primers (RIP Primers) to biologically validate your IP results by successfully co-precipitating the specific RNA targets, such as messenger RNAs. The qPCR protocol and primer sequences are provided, allowing researchers to validate RIP protocols when using the antibody in their experimental context. If a target specific assay is not provided, the RIPAb+ kit is validated using an automated microfluidics-based assay by enrichment of detectable RNA over control immunoprecipitation.
PUM2 is a sequence-specific RNA-binding protein that regulates translation and mRNA stability by binding to the 3′-UTR of mRNA targets. The PUM class of proteins plays an active role in the sustainability of mitotic stem cell proliferation and the regulation of cell development and differentiation.
特异性
This antibody recognizes Pumilio-2 near the N-terminus.
免疫原
Epitope: N-terminus
KLH-conjugated linear peptide corresponding to the N-terminus of human Pumilio-2.
应用
Western Blot Analysis:
Representative lot data.
Mouse embryonic stem cell lysate was resolved by electrophoresis, transferred to PVDF membranes and probed with Anti-Pumilio 2 (PUM2) 1 µg/mL. Proteins were visualized using a Donkey Anti-Rabbit IgG conjugated to HRP and chemiluminescence detection system.
Arrow indicates PUM2 (~120 kDa).
Note: A non-specific band may be observed at ~48 kDa in some lysates. (Figure 2).
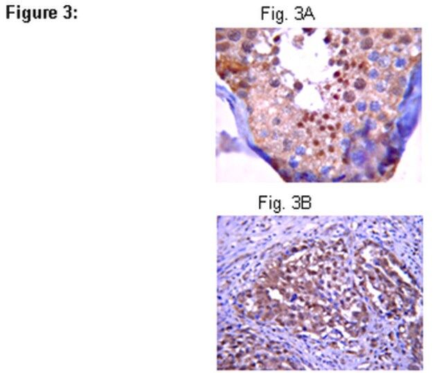
Immunohistochemistry (Parafin) Analysis:
Representative lot data.
Paraffin-embedded human testis (Fig. 3A) and human teratoma (Fig. 3B) tissues were prepared using heat-induced epitope retrieval in citrate buffer, pH 6.0. Immunostaining was performed using a 1:400 dilution of Anti-Pumilio 2 (PUM2). Reactivity was detected using the IHC-Select Detection Kit (Cat. No. DAB050). Staining pattern appears to be restricted to primary spermatocytes with no Sertoli cell involvement, as expected.
Immunocytochemistry Analysis:
Representative lot data.
Confocal fluorescent analysis of mouse and human embryonic stem cells using Anti-Pumilio 2 (PUM2) (Red). Actin filaments have been labeled with Alexa Fluor® 488 dye - Phalloidin (Green). Nucleus is stained with DAPI (Blue). (Figure 4) This antibody positively stains the nucleus and cytosol.
Research Category
Stem Cell Research
Research Sub Category
RNA Metabolism & Binding Proteins
Detect RIPAb+ PUM2 using this RIPAb+ PUM2 Antibody validated for use in ICC, IHC(P), Western Blotting, RNA Binding Protein Immunoprecipitation (RIP).
包装
10 assays per set. Recommended use: ~5 µg of antibody per RIP (dependent upon biological context).
质量
RNA Binding Protein Immunoprecipitation:
Representative lot data.
RIP Lysate prepared from HeLa cells (2 X 10E7 cell equivalents per IP) were subjected to immunoprecipitation using 5 µg of either a normal rabbit IgG or 5 µg of Anti-PUM2 antibody and the Magna RIP® RNA Binding Protein Immunoprecipitation Kit (Cat. # 17-700).
Successful immunoprecipitation of PUM2-associated RNA was verified by qPCR using RIP Primers, NFKBIA mRNA, (Figure 1).
Please refer to the Magna RIP
目标描述
~120 kDa observed.
Non specific band may be observed at 48 kDa
外形
Components:
Anti-PUM2 (Rabbit Polyclonal). One vial containing 50 µg of affinity purified polyclonal in buffer containing 0.1 M Tris-Glycine (pH 7.4), 150 mM NaCl, with 0.05% sodium azide, before the addition of 30% glycerol. Store at -20°C.
Concentration: 0.7 mg/mL
Normal Rabbit IgG. One vial containing 125 µg Rabbit IgG in 125 µL storage buffer containing 0.05% sodium azide. Store at -20°C.
RIP Primers, NFKBIA mRNA. One vial containing 75 μL of each primer (5 μM) specific for a region of the human NFKBIA mRNA. Store at -20°C.
FOR: GCT ATT CTC CCT ACC AGC TC
REV: CAG TCA TCA TAG GGC AGC TC
Affinity purified
储存及稳定性
Stable for 1 year at -20°C from date of receipt. Handling Recommendations: Upon first thaw, and prior to removing the cap, centrifuge the vial and gently mix the solution. Aliquot into microcentrifuge tubes and store at -20°C. Avoid repeated freeze/thaw cycles, which may damage IgG and affect product performance.
Note: Variability in freezer temperatures below -20°C may cause glycerol containing solutions to become frozen during storage.
分析说明
Control
Includes normal rabbit IgG and primers specific for human NFKBIA mRNA.
其他说明
Concentration: Please refer to the Certificate of Analysis for the lot-specific concentration.
法律信息
ALEXA FLUOR is a registered trademark of Life Technologies
MAGNA RIP is a registered trademark of Merck KGaA, Darmstadt, Germany
UPSTATE is a registered trademark of Merck KGaA, Darmstadt, Germany
免责声明
Unless otherwise stated in our catalog or other company documentation accompanying the product(s), our products are intended for research use only and are not to be used for any other purpose, which includes but is not limited to, unauthorized commercial uses, in vitro diagnostic uses, ex vivo or in vivo therapeutic uses or any type of consumption or application to humans or animals.
基本信息
| eCl@ss | 32160702 |
| NACRES | NA.32 |
产品性质
| 生物来源 | rabbit |
| 质量水平 | 100 |
| 克隆 | polyclonal |
| 纯化方式 | affinity chromatography |
| species reactivity | rhesus macaque, mouse, human |
| species reactivity (predicted by homology) | canine (based on 100% sequence homology), chimpanzee (based on 100% sequence homology), rhesus monkey (based on 100% sequence homology) |
| manufacturer/tradename | RIPAb+ Upstate® |
| technique(s) | RIP: suitable immunocytochemistry: suitable immunohistochemistry: suitable (paraffin) western blot: suitable |
| 同位素/亚型 | IgG2a |
| NCBI登记号 | NP_056132 |
| UniProt登记号 | Q8TB72 |
| 运输 | dry ice |
| Gene Information | human ... PUM2(23369) |
安全信息
| 储存分类代码 | 10 - Combustible liquids |

Sigma-Aldrich
