产品说明
一般描述
ZooMAb antibodies represent an entirely new generation of recombinant monoclonal antibodies.
Each ZooMAb antibody is manufactured using our proprietary recombinant expression system, purified to homogeneity, and precisely dispensed to produce robust and highly reproducible lot-to-lot consistency. Only top-performing clones are released for use by researchers. Each antibody is validated for high specificity and affinity across multiple applications, including its most commonly used application. ZooMAb antibodies are reliably available and ready to ship when you need them.
特异性
Clone 3B7 is a ZooMAb® rabbit recombinant monoclonal antibody that specifically detects alpha-fetoprotein. It targets an epitope within the Albumin 1 domain from the N-terminal region.
免疫原
His-tagged recombinant fragment corresponding to 192 amino acids from the Albumin 1 domain, N-terminal region of human Alpha-fetoprotein.
应用
Anti-AFP, clone 3B7 ZooMAb®, Cat. No. ZRB1159, is a recombinant Rabbit monoclonal antibody that specifically targets a-Fetoprotein and is used in Affinity Binding Assay, Flow Cytometry, Immunocytochemistry, Immunohistochemistry, and Western Blotting.
Quality Control Testing
Evaluated by Western Blotting in Human Fetal Liver tissue lysate.
Western Blotting Analysis: A 1:10,000 dilution of this antibody detected AFP in Human Fetal Liver tissue lysate.
Tested ApplicationsWestern Blotting Analysis: A 1:10,000 dilution from a representative lot detected AFP in HepG2 cell lysate.
Flow Cytometry Analysis: 1.0 μg from a representative lot detected AFP in HepG2 cells.
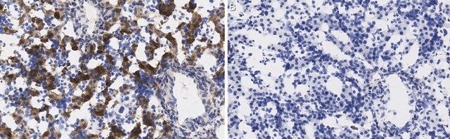
Immunohistochemistry Applications: A 1:1,000 dilution from a representative lot detected AFP in human fetal liver tissue sections.
Affinity Binding Assay Analysis: A representative lot of this antibody bound AFP proteins with a KD of 1.9 x 10^-9 in an affinity binding assay.
Immunocytochemistry Analysis: A 1:100 dilution from a representative lot detected AFP in HepG2 cell line.
Note: Actual optimal working dilutions must be determined by end user as specimens, and experimental conditions may vary with the end user
目标描述
Alpha-fetoprotein (UniProt: P02771; also known as Alpha-1-fetoprotein, Alpha-fetoglobulin, AFP) is encoded by the AFP (also known as HPAFP) gene (Gene ID: 174) in human. AFP is a secreted plasma protein that is found in fetuses older than 4 weeks and it reaches its highest levels around 12-16 weeks of gestation and then declines significantly after birth. AFP is synthesized in fetal liver with a signal peptide (aa 1-18), which is subsequently cleaved off to generate the mature form. It resembles albumin in many of its physicochemical properties and is involved in a variety of biological functions, including transporting metal ions, drugs, bilirubin, and steroids. Although in normal adults AFP levels are low, but it is reported to be a reliable marker of liver damage and its higher levels are associated with hepatitis, liver cirrhosis, and various cancers, including hepatocarcinoma, pancreatic cancer, and cancers of the reproductive system. It also serves as a reliable marker for testing for prenatal abnormalities. This ZooMAb® recombinant monoclonal antibody, generated by our propriety technology, offers significantly enhanced specificity, affinity, reproducibility, and stability over conventional monoclonals. (Ref.: Wang, X., and Wang, Q. (2018). Can. J. Gastroentrol. Hepatol. 2018; Article 9049252).
外形
Purified recombinant mouse monoclonal antibody IgG, lyophilized in PBS, 5% Trehalose, normal appearance a coarse or translucent resin. Contains no biocide or preservatives, such as azide, or any animal by-products. Larger pack sizes provided as multiples of 25 μL.
重悬
300 μg/mL after reconstitution at 25 μL per vial. Please refer to guidance on suggested starting dilutions and/or titers per application and sample type.
储存及稳定性
Recommend storage of lyophilized product at 2-8℃; Before reconstitution, micro-centrifuge vials briefly to spin down material to bottom of the vial; Reconstitute each vial by adding 25 μL of filtered lab grade water or PBS; Reconstituted antibodies can be stored at 2-8℃, or -20℃ for long term storage. Avoid repeated freeze-thaws.
法律信息
ZooMAb is a registered trademark of Merck KGaA, Darmstadt, Germany
免责声明
Unless otherwise stated in our catalog or other company documentation accompanying the product(s), our products are intended for research use only and are not to be used for any other purpose, which includes but is not limited to, unauthorized commercial uses, in vitro diagnostic uses, ex vivo or in vivo therapeutic uses or any type of consumption or application to humans or animals.
产品性质
| 生物来源 | rabbit |
| 质量水平 | 200 |
| 重组 | expressed in HEK 293 cells |
| 偶联物 | unconjugated |
| 抗体形式 | purified antibody |
| antibody product type | primary antibodies |
| 克隆 | 3B7, monoclonal recombinant monoclonal |
| 产品线 | ZooMAb® learn more |
| 形式 | lyophilized |
| 分子量 | calculated mol wt ~ 68.68 kDa observed mol wt ~ 60 kDa |
| species reactivity | human |
| 包装 | antibody small pack of 25 μL |
| 增强验证 | recombinant expression Learn more about Antibody Enhanced Validation |
| technique(s) | affinity binding assay: suitable flow cytometry: suitable immunocytochemistry: suitable immunohistochemistry (formalin-fixed, paraffin-embedded sections): suitable western blot: suitable |
| 同位素/亚型 | IgG |
| 运输 | ambient |
| 储存温度 | 2-8℃ |
安全信息
| 储存分类代码 | 11 - Combustible Solids |
| WGK | WGK 1 |
| 闪点(F) | Not applicable |
| 闪点(C) | Not applicable |

Sigma-Aldrich
