产品说明
一般描述
ZooMAb antibodies represent an entirely new generation of recombinant monoclonal antibodies.
Each ZooMAb antibody is manufactured using our proprietary recombinant expression system, purified to homogeneity, and precisely dispensed to produce robust and highly reproducible lot-to-lot consistency. Only top-performing clones are released for use by researchers. Each antibody is validated for high specificity and affinity across multiple applications, including its most commonly used application. ZooMAb antibodies are reliably available and ready to ship when you need them.
Learn more about ZooMAb here.
特异性
Clone 1E11 is a ZooMAb rabbit recombinant monoclonal antibody that specifically detects Alpha-Actinin-2. It targets an epitope within 17 amino acids from the N-terminal region.
免疫原
KLH-conjugated linear peptide corresponding to the first 17 amino acids from the N-terminal region of Alpha-actinin-2 from human skeletal muscle.
应用
Western Blotting Analysis: A 1:1,000 dilution from a representative lot detected alpha-Actinin-2 in mouse skeletal muscle tissue lysate.
Immunohistochemistry (Paraffin) Analysis: A 1:100 dilution from a representative lot detected alpha- Actinin-2 in human skeletal muscle and mouse skeletal muscle tissue sections.
Immunocytochemistry Analysis: A 1:100 dilution from a representative lot detected alpha-Actinin-2 in human skeletal muscle cells (SkMC).
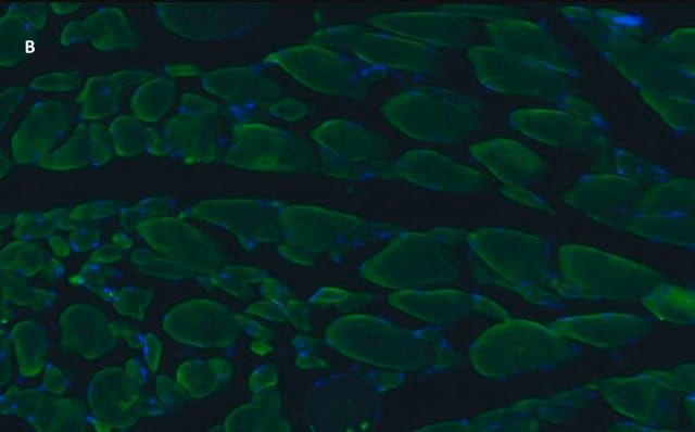
Immunofluorescence Analysis: A 1:100 dilution from a representative lot detected alpha-Actinin-2 in human skeletal muscle frozen tissue sections.
Note: Actual optimal working dilutions must be determined by the end user as specimens and experimental conditions may vary.
Anti-alpha Actinin 2, clone 1E11 ZooMAb , Cat. No. ZRB1169, is a highly specific rabbit recombinant monoclonal antibody that targets alpha-Actinin-2 and has been tested for use in Immunocytochemistry, Immunofluorescence, Immunohistochemistry (Paraffin), and Western Blotting.
目标描述
Alpha-actinin-2 (UniProt: P35609; also known as Alpha-actinin skeletal muscle isoform 2, F-actin cross-linking protein) is encoded by the ACTN2 gene (Gene ID: 88) in human. Alpha-actinin-2 is expressed in both skeletal and cardiac muscle. It is considered as a bundling protein that acts to crosslink filamentous actin molecules and titin molecules from adjoining sarcomeres at Z-discs, a function that is modulated by phospholipids. It has a rod-shaped structure and it homodimerizes in an anti-parallel fashion. Each monomer contains an N-terminal actin-binding region composed of two calponin homology domains (aa 38-142 and 151-257), two C-terminal EF hand domains (aa 753-788 and 789-824), and four tandem spectrin-like repeats (aa 281-391, 401-506, 516-627, and 637-740). It has also been shown to localize to dendritic spines, enriched within the post-synaptic density (PSD). In rat hippocampal neurons loss of alpha-actinin-2 is shown to create an increased density of immature, filopodia-like protrusions that fail to mature into a mushroom-shaped spine during development and its knockdown prevents the recruitment and stabilization of PSD in the spine, resulting in failure of synapse formation. Mutations in ACTN2 gene is known to cause cardiomyopathy with ventricular hypertrophy leading to dyspnea, syncope, collapse, palpitations, and chest pain. This ZooMAb recombinant monoclonal antibody, generated by our propriety technology, offers significantly enhanced specificity, affinity, reproducibility, and stability over conventional monoclonals. (Ref.: Hodges, JL, et al. (2014). PLoS ONE 9(7): e101770).
外形
Purified recombinant rabbit monoclonal antibody IgG, lyophilized in PBS with 5% Trehalose. Normal appearance is a coarse or translucent resin. Contains no biocide or preservatives, such as azide, or any animal by-products. Larger pack sizes provided as multiples of 25 μL.
重悬
30 μg/mL after reconstitution at 25 μL. Please refer to guidance on suggested starting dilutions and/or titers per application and sample type.
储存及稳定性
Recommend storage of lyophilized product at 2-8℃; Before reconstitution, micro-centrifuge vials briefly to spin down material to bottom of the vial; Reconstitute each vial by adding 25 μL of filtered lab grade water or PBS; Reconstituted antibodies can be stored at 2-8℃, or -20℃ for long term storage. Avoid repeated freeze-thaws.
法律信息
ZooMAb is a registered trademark of Merck KGaA, Darmstadt, Germany
免责声明
Unless otherwise stated in our catalog or other company documentation accompanying the product(s), our products are intended for research use only and are not to be used for any other purpose, which includes but is not limited to, unauthorized commercial uses, in vitro diagnostic uses, ex vivo or in vivo therapeutic uses or any type of consumption or application to humans or animals.
产品性质
| 生物来源 | rabbit (recombinant) |
| 重组 | expressed in HEK 293 cells |
| 偶联物 | unconjugated |
| 抗体形式 | purified antibody |
| antibody product type | primary antibodies |
| 克隆 | 1E11, recombinant monoclonal |
| 产品线 | ZooMAb® learn more |
| 形式 | lyophilized |
| 分子量 | calculated mol wt 103.85 kDa observed mol wt ~103 kDa |
| species reactivity | mouse, human |
| species reactivity (predicted by homology) | rat |
| 包装 | antibody small pack of 25 μL |
| 环保替代产品特性 | Waste Prevention Designing Safer Chemicals Design for Energy Efficiency Learn more about the Principles of Green Chemistry. |
| 增强验证 | recombinant expression Learn more about Antibody Enhanced Validation |
| technique(s) | immunocytochemistry: suitable immunofluorescence: suitable immunohistochemistry (formalin-fixed, paraffin-embedded sections): suitable western blot: suitable (peptide) |
| 同位素/亚型 | IgG |
| 环保替代产品分类 | Aligned |
| 运输 | ambient |
| 储存温度 | 2-8℃ |
安全信息
| 储存分类代码 | 11 - Combustible Solids |
| WGK | WGK 1 |
| 闪点(F) | Not applicable |
| 闪点(C) | Not applicable |

Sigma-Aldrich
