产品说明
一般描述
Unlike most serine/threonine kinases, Casein Kinases (CKs) are not activated by specific stimuli, but are essentially constitutively active. CK1 autophosphorylates, causing inactivation, and protein phosphatases reactivate the kinase. The substrates of CKs are numerous, but their function is less clear, perhaps due to the absence of obvious regulation. CK1 isoforms are thought to be involved in the response to DNA damage, while CK2 levels are elevated in many types of cancer.
特异性
The antibody binds specifically to the catalytic α-subunit of casein kinase2 (CK-2α). The antibody immunoprecipitates a protein with a molecular weight of 44 kD, CK-2α subunit. A 26 kD protein band, the β-subunit of the heterotetrameric holoenzyme α2β2, is coprecipitated with the CK-2α subunit. In western blots with extracts of kidney tissue, the antibody detects various protein bands between 40 and 44 kDa. Using 1 μg/mL of antibody, the lower detection limit for the holoenzyme is 500 ng in Western blot and 100 ng in dot blot; the detection limits for the α-subunit are 300 ng and 60 ng, respectively.
免疫原
Epitope: Region common to both alpha and alpha′ subunits
Purified recombinant α-subunit of casein kinase 2.
应用
Immunoprecipitation: Recommended
Immunocytochemistry: A previous lot of this antibody was used at a dilution of 5 μg/mL (acetone or methanol fix only).
Optimal working dilutions must be determined by end user.
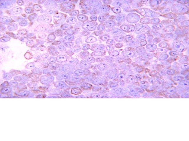
Immunohistochemistry(paraffin): Representative testing from a previous lot.
Optimal Staining of Casein Kinase 2 Monoclonal Antibody: S-KB-3 Cells
Anti-Casein Kinase 2α Antibody, 1AD9 detects level of Casein Kinase 2α & has been published & validated for use in IC, WB, IH(P) & IP.
Research Sub Category
Developmental Signaling
Research Category
Signaling
Apoptosis & Cancer
质量
Routinely evaluated by Western Blot on PC12 lysates.
Western Blot Analysis: 1:500 dilution of this lot detected Neurofilament on 10 μg of PC12 lysates.
目标描述
44 kDa
联系
Replaces: 04-1129
外形
Purified
Format: Purified
Purified mouse monoclonal IgG1 in buffer containing 0.02 M Phosphate, pH 7.6 with 0.25 M NaCl and 0.1% sodium azide.
储存及稳定性
Stable at 2-8°C in undiluted aliquots for up to 6 months from date of receipt.
分析说明
Control
HeLa cell lysate
其他说明
Concentration: Please refer to the Certificate of Analysis for the lot-specific concentration.
免责声明
Unless otherwise stated in our catalog or other company documentation accompanying the product(s), our products are intended for research use only and are not to be used for any other purpose, which includes but is not limited to, unauthorized commercial uses, in vitro diagnostic uses, ex vivo or in vivo therapeutic uses or any type of consumption or application to humans or animals.
基本信息
| eCl@ss | 32160702 |
| NACRES | NA.41 |
产品性质
| 质量水平 | 100 |
| 生物来源 | mouse |
| 抗体形式 | purified immunoglobulin |
| antibody product type | primary antibodies |
| 克隆 | 1AD9, monoclonal |
| species reactivity | mouse, human, rat |
| technique(s) | immunocytochemistry: suitable immunohistochemistry: suitable (paraffin) immunoprecipitation (IP): suitable western blot: suitable |
| 同位素/亚型 | IgG1 |
| NCBI登记号 | NM_001895.3 |
| UniProt登记号 | P68400 |
| 运输 | wet ice |
安全信息
| 储存分类代码 | 12 - Non Combustible Liquids |
| WGK | WGK 2 |
| 闪点(F) | Not applicable |
| 闪点(C) | Not applicable |

Sigma-Aldrich
