产品说明
免疫原
Succinyl-CoA:3-ketoacid-coenzyme A transferase 1, mitochondrial Precursor recombinant protein epitope signature tag (PrEST)
应用
Applications in which this antibody has been used successfully, and the associated peer-reviewed papers, are given below.
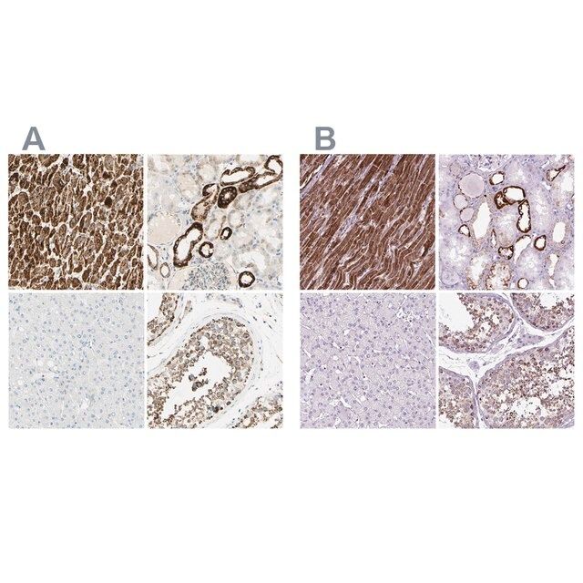
Immunohistochemistry (1 paper)
Anti-OXCT1 antibody produced in rabbit, a Prestige Antibody, is developed and validated by the Human Protein Atlas (HPA) project (www.proteinatlas.org). Each antibody is tested by immunohistochemistry against hundreds of normal and disease tissues. These images can be viewed on the Human Protein Atlas (HPA) site by clicking on the Image Gallery link. The antibodies are also tested using immunofluorescence and western blotting. To view these protocols and other useful information about Prestige Antibodies and the HPA, visit sigma.com/prestige.
生化/生理作用
OXCT1 (3-oxoacid CoA transferase 1) is a mitochondrial ketolytic enzyme involved in the ketone metabolism. It facilitates the conversion of coenzyme A from succinyl-coenzyme A to acetoacetate for the generation of acetoacetyl-CoA. It has been reported that the transfer reaction may utilize glucose for the energy requirement. Missense mutations in OXCT1 cause succinyl CoA:3-oxoacid CoA transferase deficiency.
特点和优势
Prestige Antibodies® are highly characterized and extensively validated antibodies with the added benefit of all available characterization data for each target being accessible via the Human Protein Atlas portal linked just below the product name at the top of this page. The uniqueness and low cross-reactivity of the Prestige Antibodies® to other proteins are due to a thorough selection of antigen regions, affinity purification, and stringent selection. Prestige antigen controls are available for every corresponding Prestige Antibody and can be found in the linkage section.
Every Prestige Antibody is tested in the following ways:
联系
Corresponding Antigen APREST70201.
外形
Solution in phosphate-buffered saline, pH 7.2, containing 40% glycerol and 0.02% sodium azide
法律信息
Prestige Antibodies is a registered trademark of sigma-aldrich Co. LLC
免责声明
Unless otherwise stated in our catalog or other company documentation accompanying the product(s), our products are intended for research use only and are not to be used for any other purpose, which includes but is not limited to, unauthorized commercial uses, in vitro diagnostic uses, ex vivo or in vivo therapeutic uses or any type of consumption or application to humans or animals.
基本信息
| 人类蛋白质图谱编号 | HPA012047 Human Protein Atlas characterization data |
产品性质
| 生物来源 | rabbit |
| 质量水平 | 100 |
| 偶联物 | unconjugated |
| 抗体形式 | affinity isolated antibody |
| antibody product type | primary antibodies |
| 克隆 | polyclonal |
| 产品线 | Prestige Antibodies® Powered by Atlas Antibodies |
| 形式 | buffered aqueous glycerol solution |
| species reactivity | human, mouse, rat |
| 包装 | antibody small pack of 25 μL |
| 增强验证 | independent orthogonal RNAseq Learn more about Antibody Enhanced Validation |
| technique(s) | immunoblotting: 0.04-0.4 μg/mL immunofluorescence: 0.25-2 μg/mL immunohistochemistry: 1:200-1:500 |
| 免疫原序列 | VGGFGLCGIPENLIDALLKTGVKGLTAVSNNAGVDNFGLGLLLRSKQIKRMVSSYVGENAEFERQYLSGELEVELTPQGTLAERIRAGGAGVPAFYTPTGYGTLVQEGGSPIKYNKDGSVAIASKPREVREFNGQHFILEEAITGDF |
| UniProt登记号 | P55809 |
| 运输 | wet ice |
| 储存温度 | −20℃ |
| Gene Information | human ... OXCT1(5019) |
安全信息
| 储存分类代码 | 12 - Non Combustible Liquids |
| WGK | WGK 1 |
| 闪点(F) | Not applicable |
| 闪点(C) | Not applicable |

Sigma-Aldrich
