产品说明
一般描述
The CD44 (cell-surface glycoprotein) gene encodes a transmembrane glycoprotein and has 20 exons. It is mapped to human chromosome 11p13.
免疫原
CD44 antigen precursor recombinant protein epitope signature tag (PrEST)
应用
Anti-CD44 antibody produced in rabbit has been used:
生化/生理作用
Overexpression of CD44 (cell-surface glycoprotein) leads to esophageal squamous cell carcinoma (ESCC). It is involved in cell-cell and cell-extracellular matrix interactions. It plays an important role in lymphocyte homing and lymphocyte activation.
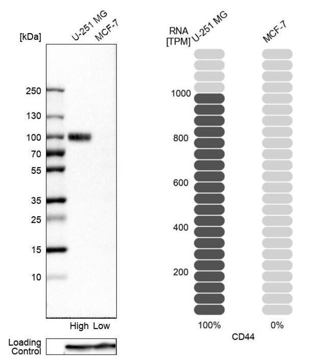
CD44 is a hyaluronic acid receptor that regulates cell repair, adhesion and inflammation. This protein has been implicated in cancer aggressiveness, metastasis and growth. Thus, CD44 is used as a cell-surface marker for several cancers . Anti-CD44 antibody is specific for CD44 in humans.
特点和优势
Prestige Antibodies® are highly characterized and extensively validated antibodies with the added benefit of all available characterization data for each target being accessible via the Human Protein Atlas portal linked just below the product name at the top of this page. The uniqueness and low cross-reactivity of the Prestige Antibodies® to other proteins are due to a thorough selection of antigen regions, affinity purification, and stringent selection. Prestige antigen controls are available for every corresponding Prestige Antibody and can be found in the linkage section.
Every Prestige Antibody is tested in the following ways:
联系
Corresponding Antigen APREST83079.
外形
Solution in phosphate-buffered saline, pH 7.2, containing 40% glycerol and 0.02% sodium azide
法律信息
Prestige Antibodies is a registered trademark of sigma-aldrich Co. LLC
免责声明
Unless otherwise stated in our catalog or other company documentation accompanying the product(s), our products are intended for research use only and are not to be used for any other purpose, which includes but is not limited to, unauthorized commercial uses, in vitro diagnostic uses, ex vivo or in vivo therapeutic uses or any type of consumption or application to humans or animals.
基本信息
| MDL编号 | MFCD00164629 |
| 人类蛋白质图谱编号 | HPA005785 Human Protein Atlas characterization data |
产品性质
| 生物来源 | rabbit |
| 质量水平 | 100 |
| 偶联物 | unconjugated |
| 抗体形式 | affinity isolated antibody |
| antibody product type | primary antibodies |
| 克隆 | polyclonal |
| 产品线 | Prestige Antibodies® Powered by Atlas Antibodies |
| 形式 | buffered aqueous glycerol solution |
| species reactivity | human |
| 包装 | antibody small pack of 25 μL |
| 增强验证 | orthogonal RNAseq Learn more about Antibody Enhanced Validation |
| technique(s) | immunoblotting: 0.04-0.4 μg/mL immunofluorescence: 0.25-2 μg/mL immunohistochemistry: 1:1000-1:2500 |
| 免疫原序列 | DDVSSGSSSERSSTSGGYIFYTFSTVHPIPDEDSPWITDSTDRIPATTLMSTSATATETATKRQETWDWFSWLFLPSESKNHLHTTTQMAGTSSNTISAGWEPNEENEDERDRHLSFSGSGIDDDEDFISSTISTTPR |
| UniProt登记号 | P16070 |
| application(s) | research pathology |
| 运输 | wet ice |
| 储存温度 | −20℃ |
| Gene Information | human ... CD44(960) |
安全信息
| 储存分类代码 | 10 - Combustible liquids |
| WGK | WGK 1 |
| 闪点(F) | Not applicable |
| 闪点(C) | Not applicable |
| 个人防护装备 | Eyeshields, Gloves, multi-purpose combination respirator cartridge (US) |

Sigma-Aldrich
