产品说明
特异性
Raf-1
免疫原
peptide corresponding to amino acids 637-648 of human Raf-1.
应用
Research Sub Category
MAP Kinases
Anti-Raf-1 Antibody detects level of Raf-1 & has been published & validated for use in IP & WB.
Research Category
Signaling
质量
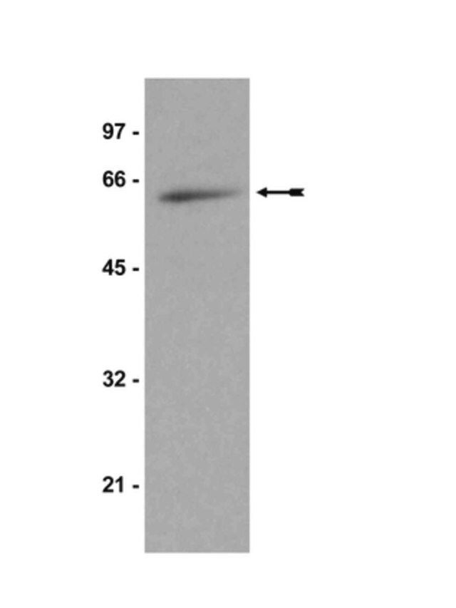
routinely evaluated by immunoblot in RIPA lysates from 3T3/A31 cell lysates
目标描述
70kDa
联系
Replaces: 04-412
外形
Format: Purified
Protein A purified
0.1M Tris-glycine, pH 7.4, 0.15M NaCl,0.05% sodium azide before the addition of glycerol to 30%
储存及稳定性
2 years at -20degC
法律信息
UPSTATE is a registered trademark of Merck KGaA, Darmstadt, Germany
免责声明
Unless otherwise stated in our catalog or other company documentation accompanying the product(s), our products are intended for research use only and are not to be used for any other purpose, which includes but is not limited to, unauthorized commercial uses, in vitro diagnostic uses, ex vivo or in vivo therapeutic uses or any type of consumption or application to humans or animals.
基本信息
| eCl@ss | 32160702 |
| NACRES | NA.41 |
产品性质
| 生物来源 | rabbit |
| 质量水平 | 100 |
| 抗体形式 | purified immunoglobulin |
| antibody product type | primary antibodies |
| 克隆 | polyclonal |
| species reactivity | human |
| manufacturer/tradename | Upstate® |
| technique(s) | immunoprecipitation (IP): suitable western blot: suitable |
| 同位素/亚型 | IgG |
| NCBI登记号 | NM_002880 |
| UniProt登记号 | P04049 |
| 运输 | wet ice |
| Gene Information | human ... RAF1(5894) |
安全信息
| 储存分类代码 | 10 - Combustible liquids |
| WGK | WGK 2 |

Sigma-Aldrich
