产品说明
特异性
recombinant β-Synuclein
免疫原
full length recombinant human β-Synuclein
应用
Research Category
Neuroscience
Research Sub Category
Neurodegenerative Diseases
Anti-β-Synuclein Antibody, clone Syn207 is an antibody against β-Synuclein for use in WB, IH.
质量
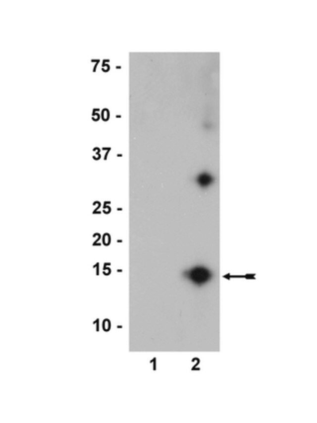
routinely evaluated by immunoblot lot detected β-Synuclein recombinant protein
目标描述
~17kDa
外形
Ascites
ascites with 0.05% sodium azide
储存及稳定性
2 years at -20°C
法律信息
UPSTATE is a registered trademark of Merck KGaA, Darmstadt, Germany
免责声明
Unless otherwise stated in our catalog or other company documentation accompanying the product(s), our products are intended for research use only and are not to be used for any other purpose, which includes but is not limited to, unauthorized commercial uses, in vitro diagnostic uses, ex vivo or in vivo therapeutic uses or any type of consumption or application to humans or animals.
基本信息
| eCl@ss | 32160702 |
| NACRES | NA.41 |
产品性质
| 质量水平 | 100 |
| 生物来源 | mouse |
| 抗体形式 | ascites fluid |
| antibody product type | primary antibodies |
| 克隆 | Syn207, monoclonal |
| species reactivity | mouse, human, rat |
| manufacturer/tradename | Upstate® |
| technique(s) | immunohistochemistry: suitable western blot: suitable |
| NCBI登记号 | NM_001001502.1 NM_003085.3 |
| UniProt登记号 | Q16143 |
| 运输 | dry ice |
| Gene Information | human ... SNCB(6620) |
安全信息
| 储存分类代码 | 10 - Combustible liquids |
| WGK | WGK 1 |

Sigma-Aldrich
