产品说明
免疫原
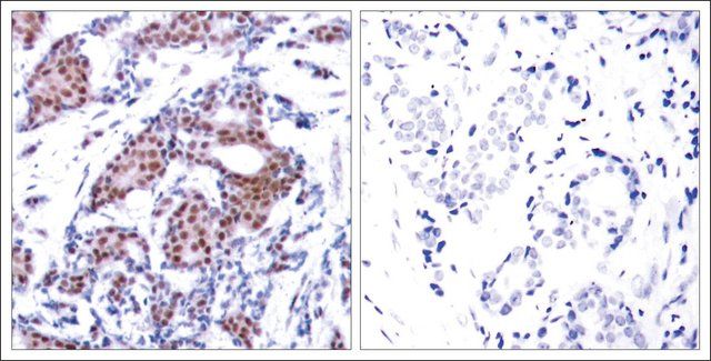
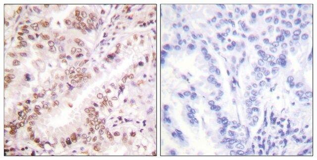
Peptide sequence around phosphorylation site of serine 213 (E-A-S(p)-G-A), according to the protein AR.
特点和优势
Evaluate our antibodies with complete peace of mind. If the antibody does not perform in your application, we will issue a full credit or replacement antibody. Learn more.
目标描述
The androgen receptor gene is more than 90 kb long and codes for a protein that has 3 major functional domains: theN-terminal domain, DNA-binding domain, and androgen-binding domain. The protein functions as a steroid-hormoneactivated transcription factor. Upon binding the hormone ligand, the receptor dissociates from accessory proteins,translocates into the nucleus, dimerizes, and then stimulates transcription of androgen responsive genes. This genecontains 2 polymorphic trinucleotide repeat segments that encode polyglutamine and polyglycine tracts in theN-terminal transactivation domain of its protein. Expansion of the polyglutamine tract causes spinal bulbar muscularatrophy (Kennedy disease). Mutations in this gene are also associated with complete androgen insensitivity (CAIS). Twoalternatively spliced variants encoding distinct isoforms have been described.
外形
Solution in phosphate-buffered saline containing 0.02% sodium azide and 50% glycerol
免责声明
Unless otherwise stated in our catalog or other company documentation accompanying the product(s), our products are intended for research use only and are not to be used for any other purpose, which includes but is not limited to, unauthorized commercial uses, in vitro diagnostic uses, ex vivo or in vivo therapeutic uses or any type of consumption or application to humans or animals.
基本信息
| MDL编号 | MFCD01321686 |
| NACRES | NA.41 |
产品性质
| 生物来源 | rabbit |
| 偶联物 | unconjugated |
| 抗体形式 | affinity isolated antibody |
| antibody product type | primary antibodies |
| 克隆 | polyclonal |
| 形式 | buffered aqueous solution |
| 分子量 | ~110 kDa |
| species reactivity | human |
| 浓度 | 1 mg/mL |
| technique(s) | indirect immunofluorescence: 1:100-1:200 western blot: 1:500-1:1000 |
| 同位素/亚型 | IgG |
| 免疫原序列 | (E-A-SP-G-A) |
| NCBI登记号 | NP_000035.2 |
| UniProt登记号 | P10275 |
| 运输 | wet ice |
| 储存温度 | −20℃ |
| Gene Information | human ... AR(367) |
安全信息
| 储存分类代码 | 10 - Combustible liquids |
| WGK | WGK 1 |
| 闪点(F) | Not applicable |
| 闪点(C) | Not applicable |

Sigma-Aldrich
