产品说明
一般描述
ACAT2 is an acyl-coenzyme A cholesterol acyltransferase that regulates the esterification of cholesterol in cells. ACAT2 has been recommended as a treatment target for hypercholesterolemia and atherosclerosis. It has also been implicated in the inhibition of apoB secretion in liver cells.
Rabbit Anti-ACAT2 antibody recognizes bovine, human, mouse, and rat ACAT2.
免疫原
Synthetic peptide directed towards the middle region of human ACAT2
应用
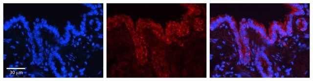
Rabbit Anti-ACAT2 (AB2) antibody can be used for western blot applications at a concentration of 2 μg/ml. It can also be used for IHC applications at a concentration of 4-8 μg/ml using paraffin-embedded tissues.
生化/生理作用
Acetyl-Coenzyme A acetyltransferase 2 is an enzyme involved in lipid metabolism. Reported patients with ACAT2 deficiency have shown severe mental retardation and hypotonus. The ACAT2 gene shows complementary overlapping with the 3-prime region of the TCP1 gene in both mouse and human. These genes are encoded on opposite strands of DNA, as well as in opposite transcriptional orientation.
序列
Synthetic peptide located within the following region: VLSQNRTENAQKAGHFDKEIVPVLVSTRKGLIEVKTDEFPRHGSNIEAMS
外形
Purified antibody supplied in 1x PBS buffer with 0.09% (w/v) sodium azide and 2% sucrose.
免责声明
Unless otherwise stated in our catalog or other company documentation accompanying the product(s), our products are intended for research use only and are not to be used for any other purpose, which includes but is not limited to, unauthorized commercial uses, in vitro diagnostic uses, ex vivo or in vivo therapeutic uses or any type of consumption or application to humans or animals.
基本信息
| NACRES | NA.41 |
产品性质
| 生物来源 | rabbit |
| 质量水平 | 100 |
| 偶联物 | unconjugated |
| 抗体形式 | IgG fraction of antiserum |
| antibody product type | primary antibodies |
| 克隆 | polyclonal |
| 形式 | buffered aqueous solution |
| 分子量 | 44 kDa |
| species reactivity | human |
| 浓度 | 0.5 mg - 1 mg/mL |
| technique(s) | immunohistochemistry: suitable western blot: suitable |
| NCBI登记号 | NP_005882 |
| UniProt登记号 | Q16146 |
| 运输 | wet ice |
| 储存温度 | −20℃ |
| Gene Information | human ... ACAT2(39) |
安全信息
| 储存分类代码 | 12 - Non Combustible Liquids |
| WGK | WGK 3 |
| 闪点(F) | Not applicable |
| 闪点(C) | Not applicable |

Sigma-Aldrich
