产品说明
一般描述
Purified mouse monoclonal antibody. Recognizes the ~85 kDa LRP light chain protein under non-reducing conditions.
Recognizes the ~85 kDa LRP protein.
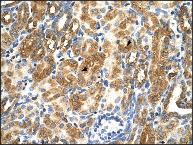
This Anti-LRP, Light Chain Mouse mAb (5A6) is validated for use in Frozen Sections, Immunoblotting, Paraffin Sections for the detection of LRP, Light Chain.
免疫原
purified, human placenta LRP
Human
包装
100 μg in Plastic ampoule
Please refer to vial label for lot-specific concentration.
应用
Frozen Sections (1-5 µg/ml)
Immunoblotting (1-5 µg/ml)
Paraffin Sections (1-5 µg/ml, see application references)
警告
Toxicity: Standard Handling (A)
外形
In 100 mM NaCl, 50 mM sodium phosphate, 1 mM EDTA, pH 6.6.
重悬
Following initial thaw, aliquot and freeze (-20°C).
其他说明
Variables associated with assay conditions will dictate the proper working dilution.
Mikhailenko, I., et al. 2001. J. Biol. Chem.276, 39484.
Rebeck, W.G., et al. 2001. Mol. Brain Res.87, 238.
Coukos, G., et al. 1994. Am. J. Pathol.144, 383.
Daugherty, A., and Rateri, D.L. 1994. Arterioscler Thromb.14, 2017.
Strickland, D.K., et al. 1990. J. Biol. Chem.265, 17401.
法律信息
CALBIOCHEM is a registered trademark of Merck KGaA, Darmstadt, Germany
产品性质
| 质量水平 | 100 |
| 生物来源 | mouse |
| 抗体形式 | purified antibody |
| antibody product type | primary antibodies |
| 克隆 | 5A6, monoclonal |
| 形式 | liquid |
| 不包含 | preservative |
| species reactivity | human, mouse, rabbit |
| manufacturer/tradename | Calbiochem® |
| 储存条件 | OK to freeze avoid repeated freeze/thaw cycles |
| 同位素/亚型 | IgG2 |
| 运输 | wet ice |
| 储存温度 | −20℃ |
安全信息
| 储存分类代码 | 10 - Combustible liquids |
| WGK | WGK 1 |
| 闪点(F) | Not applicable |
| 闪点(C) | Not applicable |

Sigma-Aldrich
