产品说明
一般描述
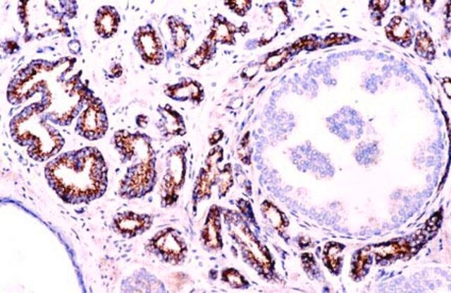
Prostate-specific antigen (PSA) screening for prostate cancer is now widespread in the United States among men of all ages. However PSA has limited specificity because benign disease, including prostatic enlargement and inflammation, can increase PSA levels. Thus, a more specific prostate cancer markers is needed. One such potential marker is AMACR, an enzyme that is involved in peroxisomal beta-oxidation of dietary branched-chain fatty acids. Recent studies have shown that, compared with expression in normal or benign prostate epithelium, AMACR is consistently overexpressed in prostate cancer epithelium, making it a specific marker for cancer cells within the prostate gland. Furthermore, overexpression of AMACR may increase the risk of prostate cancer because its expression is increased in premalignant lesions (prostatic intraepithelial neoplasia).
特异性
Recognizes human AMACR (alpha-methylacyl-CoA racemase).
免疫原
Synthetic human AMACR peptide.
应用
Western blot: 1:500
Immunohistochemistry: 1:100 in an ABC method. An incubation period of 30 minutes at room temperature is suggested. Formalin fixed paraffin embedded tissue sections require high temperature antigen unmasking with 10 mM citrate buffer, pH 6.0 prior to immunostaining.
Optimal working dilutions must be determined by end user.
Detect AMACR using this Anti-AMACR Antibody validated for use in WB, IH(P).
外形
Peptide affinity purified antibody. Liquid in PBS, with 0.02% sodium azide as a preservative.
储存及稳定性
Maintain at 2-8ºC in undiluted aliquots for 3 months or at -20°C for up to one year from date of receipt. Avoid repeated freeze-thaw cycles.
其他说明
Concentration: Please refer to the Certificate of Analysis for the lot-specific concentration.
法律信息
CHEMICON is a registered trademark of Merck KGaA, Darmstadt, Germany
免责声明
Unless otherwise stated in our catalog or other company documentation accompanying the product(s), our products are intended for research use only and are not to be used for any other purpose, which includes but is not limited to, unauthorized commercial uses, in vitro diagnostic uses, ex vivo or in vivo therapeutic uses or any type of consumption or application to humans or animals.
基本信息
| eCl@ss | 32160702 |
| NACRES | NA.41 |
产品性质
| 质量水平 | 300 |
| 生物来源 | rabbit |
| 抗体形式 | affinity isolated antibody |
| antibody product type | primary antibodies |
| 克隆 | polyclonal |
| 纯化方式 | affinity chromatography |
| species reactivity | human |
| manufacturer/tradename | Chemicon® |
| technique(s) | immunohistochemistry: suitable (paraffin) western blot: suitable |
| NCBI登记号 | NM_014324.4 NM_203382.1 |
| UniProt登记号 | Q9UHK6 |
| 运输 | wet ice |
| Gene Information | human ... AMACR(23600) |
安全信息
| 储存分类代码 | 10 - Combustible liquids |
| WGK | WGK 2 |
| 闪点(F) | Not applicable |
| 闪点(C) | Not applicable |

Sigma-Aldrich
