产品说明
一般描述
Sjogren syndrome antigen B (autoantigen La) (SSB/La) is a small nuclear RNA binding protein involved in autoimmune response in diseases such as Sjögren′s syndrome, systemic lupus erythematosus (SLE), progressive systemic sclerosis (PSS), polymyositis-dermatomyositis (PM-DM), and rheumatoid arthritis (RA).
特异性
Anti-SSB polyclonal antibody reacts with human, mouse, rat, bovine, and canine Sjogren syndrome antigen B (autoantigen La) proteins.
免疫原
Synthetic peptide directed towards the N terminal region of human SSB
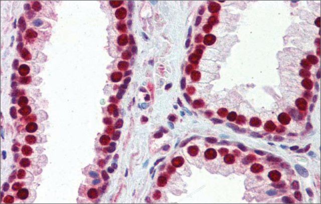
应用
Anti-SSB polyclonal antibody is used to tag Sjogren syndrome antigen B for detection and quantitation by Western blotting and in plasma by immunohistochemical (IHC) techniques. It is used as a probe to determine the roles of Sjogren syndrome antigen B in autoimmune diseases.
生化/生理作用
SSB is involved in diverse aspects of RNA metabolism, including binding and protecting 3-prime UUU(OH) elements of newly RNA polymerase III-transcribed RNA, processing 5-prime and 3-prime ends of pre-tRNA precursors, acting as an RNA chaperone, and binding viral RNAs associated with hepatitis C virus. SSB protein was originally defined by its reactivity with autoantibodies from patients with Sjogren syndrome and systemic lupus erythematosus.La is involved in diverse aspects of RNA metabolism, including binding and protecting 3-prime UUU(OH) elements of newly RNA polymerase III (see MIM 606007)-transcribed RNA, processing 5-prime and 3-prime ends of pre-tRNA precursors, acting as an RNA chaperone, and binding viral RNAs associated with hepatitis C virus. La protein was originally defined by its reactivity with autoantibodies from patients with Sjogren syndrome (MIM 270150) and systemic lupus erythematosus (SLE; MIM 152700) (Teplova et al., 2006).[supplied by OMIM].
序列
Synthetic peptide located within the following region: ISEDKTKIRRSPSKPLPEVTDEYKNDVKNRSVYIKGFPTDATLDDIKEWL
外形
Purified antibody supplied in 1x PBS buffer with 0.09% (w/v) sodium azide and 2% sucrose.
免责声明
Unless otherwise stated in our catalog or other company documentation accompanying the product(s), our products are intended for research use only and are not to be used for any other purpose, which includes but is not limited to, unauthorized commercial uses, in vitro diagnostic uses, ex vivo or in vivo therapeutic uses or any type of consumption or application to humans or animals.
基本信息
| NACRES | NA.41 |
产品性质
| 生物来源 | rabbit |
| 质量水平 | 100 |
| 偶联物 | unconjugated |
| 抗体形式 | affinity isolated antibody |
| antibody product type | primary antibodies |
| 克隆 | polyclonal |
| 形式 | buffered aqueous solution |
| 分子量 | 45 kDa |
| species reactivity | bovine, dog, human, guinea pig, horse, mouse, rabbit, rat |
| 浓度 | 0.5 mg - 1 mg/mL |
| technique(s) | immunohistochemistry: suitable western blot: suitable |
| NCBI登记号 | NP_003133 |
| UniProt登记号 | P05455 |
| 运输 | wet ice |
| 储存温度 | −20℃ |
| Gene Information | human ... SSB(6741) |
安全信息
| 储存分类代码 | 12 - Non Combustible Liquids |
| WGK | WGK 3 |
| 闪点(F) | Not applicable |
| 闪点(C) | Not applicable |

Sigma-Aldrich
