产品说明
一般描述
ZooMAb antibodies represent an entirely new generation of recombinant monoclonal antibodies.
Each ZooMAb antibody is manufactured using our proprietary recombinant expression system, purified to homogeneity, and precisely dispensed to produce robust and highly reproducible lot-to-lot consistency. Only top-performing clones are released for use by researchers. Each antibody is validated for high specificity and affinity across multiple applications, including its most commonly used application. ZooMAb antibodies are reliably available and ready to ship when you need them.
Learn more about ZooMAb here.
特异性
Clone 1A2 is a ZooMAb rabbit recombinant monoclonal antibody that detects SOX-2. It targets an epitope with in 17 amino acids from the C-terminal region.
免疫原
KLH-conjugated linear peptide corresponding to 17 amino acids from the C-terminal region of human SOX-2.
应用
Anti-Sox-2, clone 1A2, ZooMab, Cat. No. ZRB5603, is a highly specific recombinant rabbit monoclonal antibody antibody that detects human and mouse Sox-2 and has been tested for use in Immunocytochemistry, Immunohistochemistry (Paraffin), and Western Blotting.
Western Blotting Analysis: A 1:1,000 dilution from a representative lot detected Sox-2 in Human H9 stem cells and in NTERA2 cells.
Immunocytochemistry Analysis: A 1:100 dilution from a representative lot detected Sox-2 in NTERA2 and H9 cells.
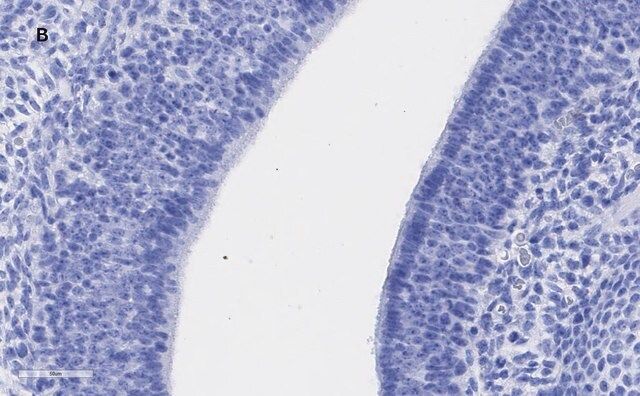
Immunohistochemistry (Paraffin) Analysis: A 1:200 dilution from a representative lot detected Sox-2 in E16.5 mouse embryo tissue sections.
目标描述
Transcription factor SOX-2 (UniProt: P48431; also known as SOX-2, Sex determining region Y-box 2, SRY-related HMG-box gene 2) is encoded by the SOX2 gene (Gene ID: 6657) in human. SOX-2 is a transcription factor that forms a trimeric complex with OCT4 on DNA and controls the expression of a number of genes involved in embryonic development such as YES1, FGF4, UTF1 and ZFP206. It is shown to be critical for early embryogenesis and for embryonic stem cell pluripotency. It may function as a switch in neuronal development. It allows neural cells in undifferentiated state by counteracting the activity of proneural proteins and suppresses neuronal differentiation. Sumoylation of SOX-2 is shown to inhibit binding on DNA and negatively regulate the FGF4 transactivation. Defects in SOX2 gene are linked to microphthalmia that is characterized by eye malformation ranging from small eye size of a single eye to complete bilateral absence of ocular tissue. This ZooMAb recombinant monoclonal antibody, generated by our propriety technology, offers significantly enhanced specificity, affinity, reproducibility, and stability over conventional monoclonals.
外形
Purified recombinant rabbit monoclonal antibody IgG, lyophilized in PBS with 5% Trehalose, normal appearance a coarse or translucent resin. Contains no biocide or preservatives, such as azide, or any animal by-products. Larger pack sizes provided as multiples of 25 μL.
重悬
30 μg/mL after reconstitution at 25 μL. Please refer to guidance on suggested starting dilutions and/or titers per application and sample type.
储存及稳定性
Recommend storage of lyophilized product at 2-8℃; Before reconstitution, micro-centrifuge vials briefly to spin down material to bottom of the vial; Reconstitute each vial by adding 25 μL of filtered lab grade water or PBS; Reconstituted antibodies can be stored at 2-8℃, or -20℃ for long term storage. Avoid repeated freeze-thaws.
法律信息
ZooMAb is a registered trademark of Merck KGaA, Darmstadt, Germany
免责声明
Unless otherwise stated in our catalog or other company documentation accompanying the product(s), our products are intended for research use only and are not to be used for any other purpose, which includes but is not limited to, unauthorized commercial uses, in vitro diagnostic uses, ex vivo or in vivo therapeutic uses or any type of consumption or application to humans or animals.
产品性质
| 生物来源 | rabbit (recombinant) |
| 重组 | expressed in HEK 293 cells |
| 偶联物 | unconjugated |
| 抗体形式 | purified antibody |
| antibody product type | primary antibodies |
| 克隆 | 1A2, monoclonal recombinant monoclonal |
| 产品线 | ZooMAb® learn more |
| 形式 | lyophilized |
| 分子量 | calculated mol wt 34.31 kDa observed mol wt ~39 kDa |
| species reactivity | human, mouse |
| 包装 | antibody small pack of 25 μL |
| 环保替代产品特性 | Waste Prevention Designing Safer Chemicals Design for Energy Efficiency Learn more about the Principles of Green Chemistry. |
| 增强验证 | recombinant expression Learn more about Antibody Enhanced Validation |
| technique(s) | immunocytochemistry: suitable using 1:100 immunohistochemistry (formalin-fixed, paraffin-embedded sections): 1:100-1:200 western blot: suitable using 1:1,000 |
| 同位素/亚型 | IgG |
| UniProt登记号 | P48431 |
| 环保替代产品分类 | Aligned |
| 运输 | ambient |
| 储存温度 | 2-8℃ |
| Gene Information | human ... SOX2(6657) |
安全信息
| 储存分类代码 | 11 - Combustible Solids |
| WGK | WGK 1 |

Sigma-Aldrich
