产品说明
一般描述
ZooMAb antibodies represent an entirely new generation of recombinant monoclonal antibodies.
Each ZooMAb antibody is manufactured using our proprietary recombinant expression system, purified to homogeneity, and precisely dispensed to produce robust and highly reproducible lot-to-lot consistency. Only top-performing clones are released for use by researchers. Each antibody is validated for high specificity and affinity across multiple applications, including its most commonly used application. ZooMAb antibodies are reliably available and ready to ship when you need them.
Learn more about ZooMAb here.
特异性
Clone 1L10 is a ZooMAb rabbit recombinant monoclonal antibody that specifically detects alpha-Tubulin acetylated on lysine 40. It targets an epitope within 11 amino acids sourrounding acetylated lysine 40.
免疫原
KLH-conjugated linear peptide corresponding to 11 amino acids from the N-terminal region of human alpha-Tubulin acetylated on lysine 40.
应用
Anti-Ac-alpha-Tubulin (Lys40), clone IL10 ZooMAb, Cat. No. ZRB1316, is a recombinant rabbit monoclonal antibody that specifically detects alpha-Tubulin acetylated on lysine 40 and has been tested for use in Immunocytochemistry, Immunohistochemistry (Paraffin), and Western Blotting.
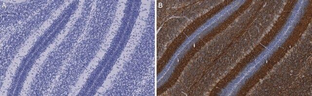
Immunohistochemistry (Paraffin) Analysis: A 1:10-100 dilution from a representative lot detected Ac-alpha-Tubulin (Lys40) in human testis and mouse brain tissue sections.
Immunocytochemistry Analysis: A 1:100 dilution from a representative lot detected Ac-alpha-Tubulin (Lys40) in HeLa treated with Trichostatin A and in MCF-7 and NTERA-2 cells.
Note: Actual optimal working dilutions must be determined by end user as specimens, and experimental conditions may vary with the end user.
目标描述
Tubulin alpha-4A chain (UniProt: P68366; also known as Alpha-tubulin 1, Testis-specific alpha-tubulin, Tubulin H2-alpha, Tubulin alpha-1 chain) is encoded by the TUBA4A (also known as TUBA1) gene (Gene ID: 7277) in human. Microtubules are cytoskeletal filaments composed of alpha-/beta-tubulin heterodimers that self-assemble head-to-tail to form protofilaments and laterally to form a hollow tube. Alpha-beta heterodimers associate head-to-tail to form protofilaments running lengthwise along the microtubule wall with the beta-tubulin subunit facing the microtubule plus end conferring a structural polarity. Tubulin binds two moles of GTP, one at an exchangeable site on the beta chain and one at a non-exchangeable site on the alpha chain. Various post-translational modifications, including acetylation, polyglutamylation, polyglycylation, detyrosination, phosphorylation, and palmitoylation, can regulate the polymerization properties of tubulins and/or their interactions with microtubule associated proteins and motor proteins. The GNAT lysine acetyltransferase family member MEC-17 (or alpha-tubulin acetyltransferase/alpha TAT) is reported to catalyze lysine 40 acetylation, while HDAC6 and sirtuin2 (SIRT2) are known to catalyze tubulin deacetylation. Acetylation of alpha chains at lysine 40 is located inside the microtubule lumen. This modification has been correlated with increased microtubule stability, intracellular transport and ciliary assembly. This ZooMAb recombinant monoclonal antibody, generated by our propriety technology, offers significantly enhanced specificity, affinity, reproducibility, and stability over conventional monoclonals. (Ref.: Akella, JS et al (2010). Nature. 467(7312); 218-222).
外形
Purified recombinant rabbit monoclonal antibody IgG, lyophilized in PBS with 5% Trehalose, normal appearance a coarse or translucent resin. Contains no biocide or preservatives, such as azide, or any animal by-products. Larger pack sizes provided as multiples of 25 μL.
重悬
30 μg/mL after reconstitution at 25 μL per vial. Please refer to guidance on suggested starting dilutions and/or titers per application and sample type.
储存及稳定性
Recommend storage of lyophilized product at 2-8℃; Before reconstitution, micro-centrifuge vials briefly to spin down material to bottom of the vial; Reconstitute each vial by adding 25 μL of filtered lab grade water or PBS; Reconstituted antibodies can be stored at 2-8℃, or -20℃ for long term storage. Avoid repeated freeze-thaws.
法律信息
ZooMAb is a registered trademark of Merck KGaA, Darmstadt, Germany
免责声明
Unless otherwise stated in our catalog or other company documentation accompanying the product(s), our products are intended for research use only and are not to be used for any other purpose, which includes but is not limited to, unauthorized commercial uses, in vitro diagnostic uses, ex vivo or in vivo therapeutic uses or any type of consumption or application to humans or animals.
产品性质
| 生物来源 | rabbit (recombinant) |
| 重组 | expressed in HEK 293 cells |
| 偶联物 | unconjugated |
| 抗体形式 | purified antibody |
| antibody product type | primary antibodies |
| 克隆 | 1L10, monoclonal recombinant monoclonal |
| 产品线 | ZooMAb® learn more |
| 形式 | lyophilized |
| 分子量 | calculated mol wt 49.92 kDa observed mol wt ~48 kDa |
| species reactivity | human, rat, porcine |
| species reactivity (predicted by homology) | bovine, sheep |
| 包装 | pkg of 25 μL |
| 环保替代产品特性 | Waste Prevention Designing Safer Chemicals Design for Energy Efficiency Learn more about the Principles of Green Chemistry. |
| 增强验证 | recombinant expression Learn more about Antibody Enhanced Validation |
| technique(s) | immunocytochemistry: suitable immunohistochemistry (formalin-fixed, paraffin-embedded sections): suitable western blot: suitable |
| 同位素/亚型 | IgG |
| 环保替代产品分类 | Aligned |
| 运输 | ambient |
| 储存温度 | 2-8℃ |
安全信息
| 储存分类代码 | 11 - Combustible Solids |
| WGK | WGK 1 |
| 闪点(F) | Not applicable |
| 闪点(C) | Not applicable |

Sigma-Aldrich
